‘It was mum's last wish’ Devastated bride opens up about tying the knot on the same day her mother died
Parenting advice, hot topics, best buys and family finance tips delivered straight to your inbox.
You are now subscribed
Your newsletter sign-up was successful
Three hours before her wedding Nell Cordukes, 24, from Kendal, got a devastating call...
Peeking round the curtains, I saw who I was looking for. ‘He’s here!’ I shouted. It was summer 2013, and my mum Becky, then 50, was meeting my boyfriend Matt, 22, for the first time. I couldn’t wait to introduce my two favourite people.
Within minutes, Mum and Matt were cracking up over embarrassing childhood stories about me. They were going to get on just fine...
Article continues belowI’d always been close to my mum. Me, my sister Camille, 28, and my brothers Thomas, 26, and Harry, 21, were her world. Playing board games or walking our Border collie Floss and Cavalier King Charles spaniel Rosa, time together was everything. And from that day, Matt was part of the family, too.
By June 2019, it was like he’d always been one of the gang. But Mum had begun acting strangely. She was dizzy, forgetful... The doctors diagnosed her with stress and exhaustion. But then she ended up in hospital. Confused, she didn’t know who or where she was. The doctors thought it might be a stroke. But after an MRI scan, they called us all in.
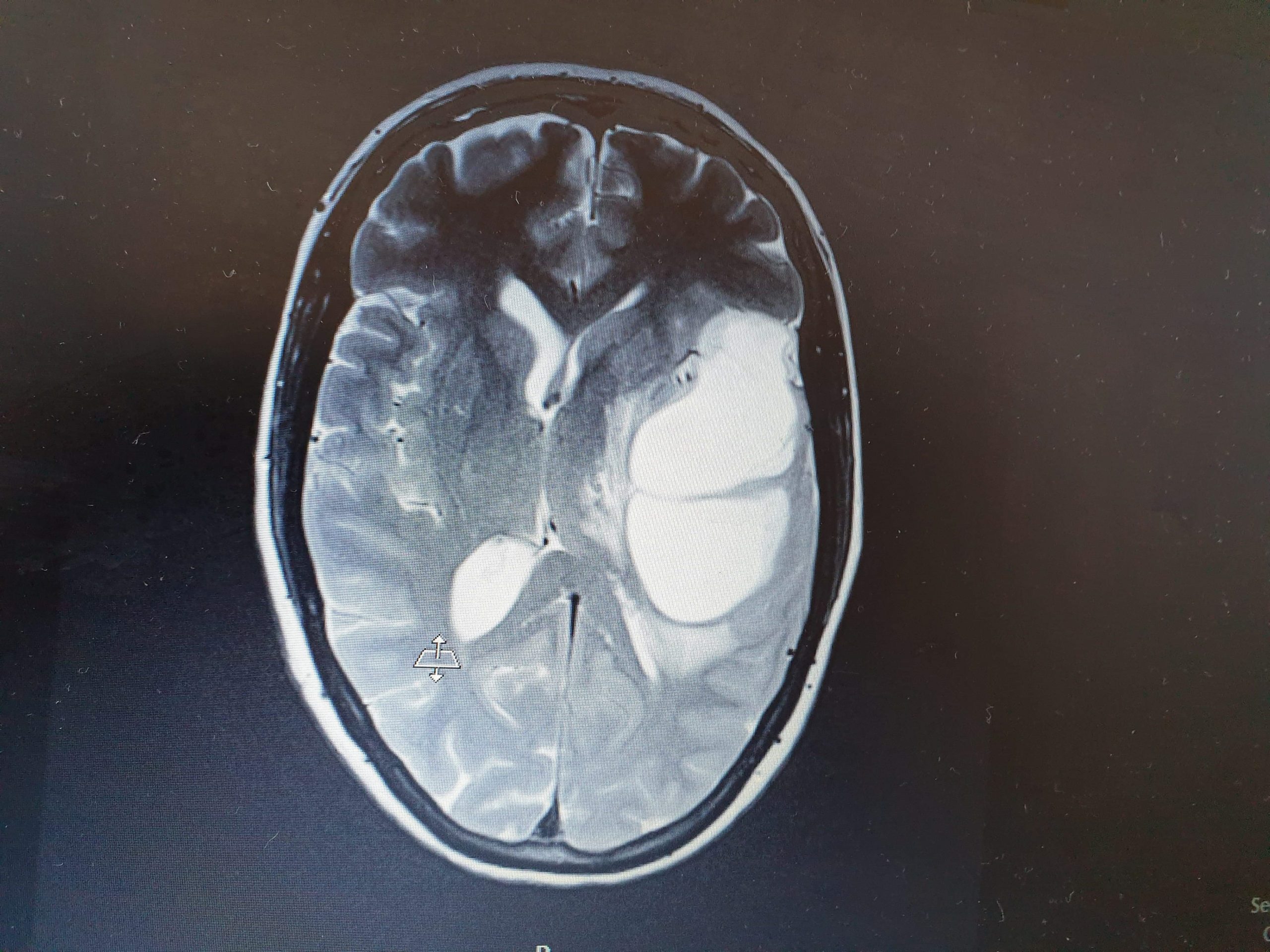
‘I need to show you something,’ a doctor said. Staring at the big, white blob on the scan, I was in shock. It was a brain tumour. On 4 July, Mum underwent surgery to remove 70 per cent of the tumour. But a biopsy later showed that it was a highly aggressive glioblastoma.
‘I’m afraid she may have just months left,’ the doctor said. We were all broken. Weeks of chemo and radiotherapy followed. But Mum deteriorated rapidly, and ended up in a wheelchair. Desperate to give her some normality outside the bleak hospital walls, we took her to the park.
Parenting advice, hot topics, best buys and family finance tips delivered straight to your inbox.
‘Well, now I’m ill, you’d better get married,’ Mum joked, with a tired grin. She’d been dropping hints about a wedding ever since Matt and I had moved in together in 2017. We’d always told her there was plenty of time. That wasn’t true any more.
Later that month, Matt and I were at the park with Rosa. As Matt called her over and I bent down to give her a fuss, I noticed she had a note stuck on her tag. Will you marry me? Matt brought out a platinum and diamond ring. ‘Yes!’ I squealed through tears. Then... ‘I can’t wait to tell Mum!’
She was over the moon. As we chatted about wedding plans, Mum stopped me. ‘Promise me you’ll go ahead with the wedding, no matter what,’ she said. ‘OK,’ I agreed tearfully. Setting a date for October, our preparations got underway. Twirling in my mermaid-style sparkly dress in the shop, I watched as Mum’s eyes lit up.
She was too sick to make our wedding cake like she’d dreamt of doing. Instead, she chose the macaroons we’d have at the reception. And it was agreed Mum would take me down the aisle, my dad pushing her wheelchair. She even wrote a speech for our special day. But, as the wedding approached, Mum could barely speak, eat or drink.
We looked after her at home and, every time I left her – even for a few minutes – I said goodbye. Just in case… I realised then that there was no way she would be strong enough to come to the wedding. On the night before, me and Camille stayed at Mum’s house. She was sleeping a lot and was so weak, fading before our eyes. ‘It’s OK to let go now, Mum,’ I said gently.
The next morning, I woke at 5am and sat with Mum, holding her hand. ‘It’s the big day today!’ I told her. But inside, my heart was breaking. I didn’t want to let go of her hand. Not ever. But I’d made Mum a promise and had to keep it. So, as she slept peacefully, I kissed her head. ‘Goodbye, Mum,’ I said. And then I headed to the wedding venue.
Soon, I was swept up in the madness of the day. Bridesmaids bustling about, flowers arriving. I tried to throw myself into it, as Mum wanted. But, just after 9am, while I was getting my hair done, my phone rang. It was Harry.
‘Mum’s died,’ he whispered. I’d known it was coming. But it didn’t stop the grief from being overwhelming. The wedding was at noon. ‘Can I really go ahead with this?’ I panicked. But I had to. It was Mum’s last wish.
So I put on my dress, dried my eyes and fastened on a necklace with a silver star that I’d planned to give to Mum later. And then, taking Dad’s arm, just three hours after that life-changing phone call, I walked down the aisle.As Matt and I said our vows, I felt grief, sadness, hope and happiness all mixed up together. At the reception, a framed picture of Mum sat on the empty chair where she should have been. Then Camille read the speech she’d written for our special day.
Now, we’re muddling on through our grief. Matt and I have spoken about having kids. I’m devastated that Mum will never hold my babies.I wish we’d had her longer. Cherish every moment with your loved ones. Because life can change in an instant.
Nell is sharing her story during Brain Tumour Awareness Month to help The Brain Tumour Charity raise awareness about brain tumours.
She’s raising money at justgiving.com/fundraising/beckybest
What you need to know about brain tumours
· Brain tumours are the biggest cancer killer of children and adults under 40.
· Over 11,700 people are diagnosed each year with a primary brain tumour, including 500 children and young people – that’s 32 people every day.
· Over 5,000 people lose their lives to a brain tumour each year.
· Brain tumours reduce life expectancy by on average 20 years – the highest of any cancer.
· Just 19 per cent of adults survive for five years after diagnosis.
· Brain tumours are the largest cause of preventable or treatable blindness in children. Childhood brain tumour survivors are 10 times more likely to suffer long term disability than well children. This accounts for 20,000 additional disabled life years for all the children who are diagnosed each year.
Research offers the only real hope of dramatic improvements in the management and treatment of brain tumours. Over £500m is spent on cancer research in the UK every tumours a year, yet only 3% of that is spent on brain tumours.
The Brain Tumour Charity has set up a Coronavirus information hub to give advice and support to people living with brain tumours.
Additional reporting by Carol Dyce